Hohenbuehelia angustata
This ho-hum Hohenbuehelia grows in a shelf-like manner from rotting hardwood
logs. Cap light brown, whitish, sometimes a dingy grey. Close, off-white gills.
Rubbery texture. Similar to some
Crepidotus mushrooms, but Crepidotus
mushrooms have a brown spore print. Spore print white with
Hohenbuehelia.
Spores subglobose to round, smooth.
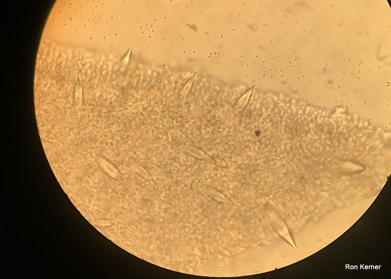
Typical Hohenbuehelia cystidia.
Hohenbuehelia angustata