Tuber mexiusanum
Tuber mexiusanum
Tuber mexiusanum
Tuber mexiusanum
Tuber mexiusanum
Tuber mexiusanum
Tuber mexiusanum
Tuber mexiusanum
Tuber mexiusanum
This is a newly described (2013) Tuber species that ranges from Mexico
and well into the northern United States; hence the specific epithet.
Identification was confirmed by DNA analysis (thanks to Stephen Russell
at Purdue University). Found in Monroe County, Indiana; June; in soil
near oak trees. This truffle belongs to the same genus (
Tuber) as the
culinary-famed black and white truffles of Europe.
Tuber mexiusanum
has a pleasant flavor.  
This collection was formerly mis-identified here as
Tuber Lyonii.
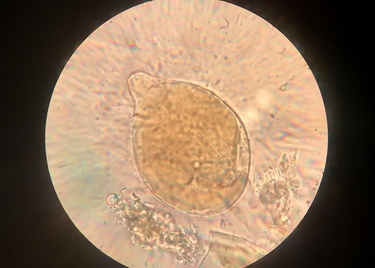
The spiny and reticulated ascospores of Tuber mexiusanum developing within
asci, the spore producing cells of this fungus. Spore size varies depending on
the number of ascospores within an ascus, which can range from 1-5.
Ascospores in an ascus with one spore average 20-50 x 16-36 microns.
Asci globose to subglobose and sometimes exhibit a rudimentary pedicel.